2025年08月29日
     	こんにちは☀︎
歯科助手・TCの髙橋です☺︎
まだまだ夏の暑さが続いていますが、皆さんいかがお過ごしでしょうか?
私はお盆休みに地元の秋田に帰省をし、関東より少しだけ涼しい夏を過ごしました🎐
今日は歯医者で行われる資料撮りについてお話していきます!
みなさんは歯医者で自分のお口の中の写真を撮られたことありますか?
なんでレントゲンを撮るのにお口の中の写真まで撮るのだろう?と不思議に思ったことがある方もいるかもしれません。
写真を撮るのにはいくつか理由があります💡
⑴正確な診断のため
虫歯や歯周病、詰め物や被せ物の状態などを詳しく確認することができます
⑵経過を観察するため
治療前・治療中・治療後の変化を記録し、比較ができるようになります
また、レントゲンでは見えにくい歯の表面や歯茎の状態をカラー画像で確認することもできます
⑶患者さんへの説明に使用するため
どこがどういう状態なのかを視覚的に理解してもらうことができます
⑷治療の性質向上のため
歯科医師や歯科衛生士が細部を拡大して確認できるため、精度があがります。
また、技工士さんに詰め物や被せ物を作ってもらう時にも情報を伝えるツールとして有効です
このようにいくつかの理由がある上でお写真を撮らせていただいています。
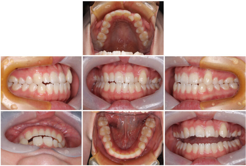
では実際にどんな写真を撮っているのか!

こんな感じで撮っています📷
ちなみに一眼レフなので画質はとても良いです✨
正面や側方、あとは食事で物を噛む面(咬合面)の部分などさまざまな視点から撮っています!
実際に当院では初診時にお撮りするレントゲン資料だけではなく、こちらのお口の写真も使用して患者さんに治療についてのカウンセリングを行っています。
そうすることで普段自分の視点からは見ることのできない場所の状態を確認することで現状把握やオーラルケアのモチベーションアップにも繋がります🪥
歯医者に来院された際にお口の写真を撮ると言われた時にはぜひ私がお話したお口の中を撮る理由を思い出していただけると嬉しいです^^
当院では大切な資料としてお撮りするため、スタッフも技術向上のために日々練習をしています!
お口の写真で何か気になることなどがあれば遠慮なくスタッフにお声がけください。
 
 
     
      
      
	  2025年08月15日
     	みなさんこんにちは!
歯科助手・トリートメントコーディネーターの長岡です。
 
みなさん突然ですが、「歯周ポケット」という言葉を聞いたことはありますか?
歯医者さんで検診を受けた時に歯ぐきに器具を入れ「チクっ」とした経験や「○ミリですね」と言われたことありませんか?
でも、実際にそれが何を検査しているのか、何を意味するのか、詳しく知っている方は意外と少ないです。
 
歯ぐきと歯のすき間、それが「歯周ポケット」
歯周ポケットとは、歯と歯ぐきの間にできる“すき間”のことです。健康な歯ぐきでは、このすき間はとても浅く、2〜3ミリ程度。しかし歯ぐきが炎症を起こしたり、歯を支える骨が減ってくると、このすき間が深くなってしまいます。深くなった部分には食べかすや歯垢(プラーク)がたまりやすく、さらに炎症が悪化してしまうという悪循環が生まれます。
 
どうしてポケットが深くなるの?
原因の多くは歯周病です。
歯周病は、歯垢の中にいる細菌が歯ぐきに炎症を起こし、進行すると歯を支える骨まで溶かしてしまう病気です。炎症によって歯ぐきが腫れ、歯と歯ぐきの間が広がることでポケットが深くなります。初期は痛みがほとんどなく、知らない間に進んでしまうため“沈黙の病気”とも呼ばれます。

 
歯周ポケットの深さでわかること
歯医者さんでは、専用の細い器具(プローブ)でポケットの深さを測ります。
・3ミリ以内:健康、または軽い歯肉炎
・4〜5ミリ:歯周病の初期〜中等度
・6ミリ以上:進行した歯周病
深さが大きいほど、汚れがたまりやすく、歯ブラシでは届きにくくなります。

 
放置するとどうなる?
歯周ポケットが深くなったまま放置すると、歯を支える骨がさらに減っていきます。すると歯がグラグラして、最終的には抜けてしまうことも…。
実は、日本で歯を失う一番の原因は虫歯ではなく歯周病です。
 
自分でできる予防とケア
歯周ポケットを深くしないためには、毎日の丁寧な歯磨きと、歯垢や歯石を定期的に取り除くことが大切です。歯と歯ぐきの境目を意識して磨く、デンタルフロスや歯間ブラシを使うなど、少しの工夫で予防できます。
歯並びによっても磨き方にコツが必要だったりするので詳しい磨き方については当院にお越しの際に歯科医師・歯科衛生士にお気軽にお尋ねください!
 
早めの受診が安心への近道
歯周病は初期のうちなら改善が可能です。ポケットが浅い状態を保つことが、将来の歯の健康を守ります。気になる症状がなくても、半年〜1年に一度は歯科医院で検診を受けてみましょう。
健康な歯や歯ぐきは一生の財産。
あなたの笑顔を守るためにも、まずは歯科医院で歯周ポケットのチェックを受けてみませんか?